
Кандидат медицинских наук Лев Манвелов (Научный центр неврологии РАМН).
Лёгкое головокружение при вращении в танце или катании на карусели знакомо всем, и его можно отнести, скорее, к приятным ощущениям. Но в других ситуациях головокружение — симптом заболевания, причём даже врачу не всегда сразу понятно, какого именно, и, чтобы это выяснить, требуется полноценное медицинское обследование.
Среди жалоб, с которыми пациенты обращаются в медицинские учреждения, головокружение встречается весьма часто и уступает только головным болям и болям в спине. По нашим данным, основанным на обширном обследовании населения в возрасте 35—60 лет, головокружение отмечалось почти в 15% случаев. Причём многие не считают нужным обращаться к врачу по такому на первый взгляд «пустяковому», а на деле — весьма серьёзному поводу.
Симптом один, болезни разные
Головокружение — не болезнь, а симптом, который может сопутствовать более чем восьми десяткам заболеваний. Вот лишь некоторые из них: поражение ушного лабиринта; недостаточность кровоснабжения головного мозга при сердечно-сосудистых заболеваниях; остеохондроз шейного отдела позвоночника; инфекционные заболевания, в том числе сифилис и ВИЧ-инфекция; опухоли мозга; черепно-мозговая травма; неврозы; лекарственная интоксикация.
Выявить причины головокружения помогают различные методы: компьютерная и магнитно-резонансная томография, ультразвуковые, рентгенологические, радиоизотопные, биохимические и другие исследования. Но прежде всего врач должен выяснить, что имеет в виду пациент, жалуясь на головокружение.
Нередко за головокружение ошибочно принимают зрительные расстройства, мелькание «мушек», туман или пелену перед глазами.
Неприятные ощущения, возникающие при мелькании транспорта перед глазами, тоже не относятся к головокружению, — они характерны для вестибулярной дисфункции.
Настоящее головокружение проявляется иначе — как мнимое вращение предметов или собственного тела, как ощущение «вращения внутри головы», шаткости, неустойчивости, нарушения равновесия.
Поддерживать ориентацию в пространстве и положение равновесия человеку помогает вестибулярный анализатор. Он включает вестибулярный аппарат, расположенный во внутреннем ухе, и вестибулярные ядра мозга.
Вестибулярное головокружение (его называют также истинным, системным) характерно для поражения как периферического, так и центрального отдела вестибулярного анализатора. При таком головокружении возникает ощущение вращения собственного тела или движения предметов либо того и другого одновременно. Оно нередко сопровождается тошнотой и рвотой, потливостью, нарушением слуха и равновесия, ложным ощущением движения «опоры» под ногами. Человеку кажется, что его тело либо проваливается, либо приподнимается, качается вперёд-назад, вправо-влево, вверх-вниз, что он ходит по кочкам, по болоту. Вестибулярное головокружение усиливается при перемене положения головы и тела.
Невестибулярное (несистемное) головокружение описывают иначе — как чувство опьянения, приближающейся потери сознания, лёгкости в голове, неустойчивости при ходьбе. Эти симптомы могут быть обусловлены заболеваниями систем кроветворения, сердечно-сосудистой, эндокринной и другими. Жалобы на «туман», тяжесть в голове, чувство опьянения, дурноты типичны для страдающих неврозами.

Остеохондроз шейного отдела позвоночника — очень часто встречающаяся патология. При резких движениях это состояние провоцирует головокружение.=

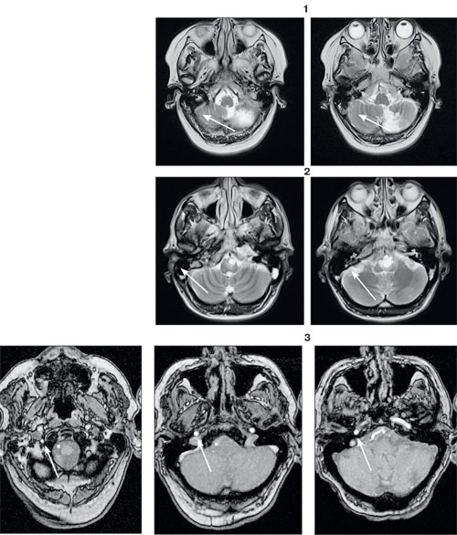
Данные магнитно-резонансной томографии. Инфаркт мозжечка (1), опухоль ствола головного мозга (2), закупорка позвоночной артерии (3) сопровождаются головокружениями.
Центральное, периферическое… Как различать?
Вестибулярное (системное) головокружение бывает двух типов: периферическое, связанное с повреждением структур внутреннего уха, и центральное, проявляющееся при повреждении определённых областей головного мозга. Различать их очень важно, поскольку лечение неодинаково, хотя симптомы могут быть похожими. Например, при заболеваниях внутреннего уха характер головокружений сходен с головокружениями при поражениях мозга, обусловленных сосудистыми проблемами: артериальной гипертонией и атеросклерозом, преходящим (временным) нарушением мозгового кровообращения или хронической его недостаточностью. Появление головокружения может быть связано с неврозами и депрессией, заболеваниями сердца, повышением вязкости крови.
Связь между головокружением и патологией внутреннего уха впервые обнаружил французский врач Проспер Меньер. Его имя впоследствии получила болезнь, главным симптомом которой становятся приступы головокружений. Для болезни Меньера характерны резкие приступы головокружения, сочетающиеся с односторонним нарушением слуха, и наличие сосудистых заболеваний (при сохранении кровотока по позвоночным артериям).
Проводящие слуховые и вестибулярные пути тесно связаны между собой. Когда головокружение сопровождается снижением слуха, шумом в ухе, ощущением заложенности в нём или двойным восприятием звука, это говорит о периферическом поражении вестибулярного анализатора.
Если человек в прошлом перенёс заболевание внутреннего уха, то головокружение может возникнуть из-за недолеченного воспалительного процесса в ушном лабиринте.
Травмы головы, даже незначительные, также могут стать причиной головокружений, например если произошло повреждение отолитов — ушных камней, которые находятся во внутреннем ухе. Трещины височной кости чреваты поражением слухового нерва. Часто приступы головокружения появляются через много лет после травмы.
Если подобные нарушения случаются только при определённом положении головы и тела (на боку в постели или при запрокидывании головы назад) и сопровождаются тошнотой, рвотой, страхом, это также может свидетельствовать о патологии ушного лабиринта.
Наиболее тяжёлые головокружения возникают при остром нарушении кровообращения во внутреннем ухе. Корешки слухового и лицевого нервов и внутреннее ухо — улитку и лабиринт — снабжает кровью внутренняя слуховая артерия. Это единственная артерия, питающая внутреннее ухо, и расстройство кровообращения в ней может привести к инфаркту лабиринта. Заболевание начинается с ощущения заложенности и шума в ухе. Быстро развиваются головокружение и односторонняя глухота, нарушается равновесие.
Приступы периферического головокружения сопровождаются сердцебиением, колебаниями артериального давления, потливостью и другими вегетативными симптомами. Ему часто предшествует ощущение шума и заложенности в одном ухе. Приступ обычно продолжается около трёх часов. Если такие состояния часты, то необходимо обследовать больного методами компьютерной или магнитно-резонансной томографии. При периферическом головокружении функции центральных отделов вестибулярного анализатора сохраняются, поэтому восстановление после приступа происходит довольно быстро.
Центральное головокружение также начинается неожиданно, и его проявления во многом сходны с периферическими головокружениями. Однако после острого периода ещё долго сохраняются неустойчивость при ходьбе и нарушение равновесия. Центральное головокружение чаще бывает несистемным, продолжается несколько дней, а то и недель с последующим длительным нарушением равновесия либо кратковременным — несколько секунд или минут. Иногда головокружению предшествует головная боль, сопровождающаяся рвотой, потерей равновесия. В то же время слух не нарушается или нарушается незначительно. Повторные приступы могут сопровождаться симптомами, свидетельствующими о поражении мозга: расстройством чувствительности на одной стороне лица, туловища и конечностей, двоением предметов перед глазами, нарушением речи, слабостью в конечностях с левой или правой стороны. Для больных с сосудистыми заболеваниями головного мозга характерны центральные нарушения слуха, которые могут их не беспокоить, но выявляются при дополнительном обследовании.
Центральные вестибулярные нарушения возникают при остром снижении мозгового кровообращения, опухолях, энцефалитах и ряде других заболеваний мозга. Их характер непредсказуем — они могут разбудить ночью, внезапно бросить в сторону на улице или же возникают только при перемене положения головы и тела. Всё это существенно ухудшает качество жизни, снижает активность и работоспособность.
Головокружение «внутри головы», напоминающее состояние «опьянения», характерно для неврозов и депрессии. Список жалоб при неврозах может быть довольно внушительным: раздражительность, плохой сон, боли и неприятные ощущения в различных органах. Как правило, подобные состояния требуют лечения, однако в некоторых случаях справедливо выражение: «Здоров не тот, у кого ничего не болит, а тот, у кого каждый раз болит в другом месте».
Случаются головокружения и при таком широко распространённом заболевании, как остеохондроз шейного отдела позвоночника, особенно при резких и неловких движениях. Такие головокружения кратковременны. Они могут сопровождаться нарушением равновесия, лёгким пошатыванием. Их главная причина — раздражение нервного сплетения, мышц и связок шеи.
Головокружения могут возникать и при приёме лекарств, в частности антибиотиков и наркотических препаратов, а у женщин — оральных противозачаточных средств. Некоторые антибиотики могут привести не только к вестибулярным расстройствам, но и к необратимым изменениям слуха. Головокружение иногда вызывают мочегонные препараты, противосудорожные средства, аспирин. Чаще всего это происходит у людей пожилого возраста при бессистемном применении и передозировке лекарств.
Как лечить?
Прежде всего, не надо терпеть головокружения, а нужно идти к врачу. Своевременная диагностика и правильное лечение основного заболевания — вот принципы, которые помогают избавиться от приступов головокружения. Если причина в поражении ушного лабиринта, то назначают препараты, улучшающие кровоснабжение во внутреннем ухе. Одно из наиболее эффективных лекарств — бетасерк. Впервые его применили в 1962 году для лечения головной боли, а в 1965-м — для лечения болезни Меньера. Сегодня бетасерк назначают для снятия головокружения любого происхождения. Препарат вызывает высвобождение гистамина и его синтез, что способствует развитию восстановительных процессов в вестибулярном анализаторе. Нецелесообразно назначать бетасерк одновременно с циннаризином, поскольку последний ослабляет терапевтический эффект бетасерка своей антигистаминной активностью. Механизм действия бетасерка включает прямое влияние на рецепторы вестибулярного анализатора, что особенно важно в тех случаях, когда головокружение возникает в результате неконтролируемых изменений спонтанной активности этих рецепторов. Препарат избирательно влияет на нервные клетки внутреннего уха (лабиринта), вестибулярные центры головного мозга, улучшает кровообращение в мелких сосудах внутреннего уха. Двухмесячный курс лечения бетасерком больных с головокружениями при начальных формах сосудистых заболеваний головного мозга показал, что у подавляющего большинства пациентов приступы и шум в ушах исчезли или значительно уменьшились; улучшились слух и общее самочувствие. Наблюдения в течение шести месяцев после лечения доказали, что положительный эффект не только сохранился, но и усилился. Следовательно, бетасерк обладает универсальным действием на все системы, ответственные за возникновение головокружения.
Существует много лекарственных средств различных фармакологических групп (ноотропы, антиоксиданты, антигипоксанты, психостимуляторы и другие), регулирующих приспособительные механизмы. Они ускоряют развитие компенсаторных реакций центральной нервной системы. У ряда препаратов регуляторное действие сочетается с улучшением энергетического обмена в клетках и тканях. К ним, прежде всего, относятся ноотропы, стимулирующие функции мозга, повышающие устойчивость центральной нервной системы к действию различных повреждающих факторов. Они успешно применяются при многих заболеваниях и травмах головного мозга, переутомлении.
Первое ноотропное средство создали в 1962 году в Бельгии. Этот препарат — ноотропил (пирацетам) — считается «эталонным». Многочисленными исследованиями доказано, что он достоверно ускоряет компенсацию нарушенной функции вестибулярного аппарата. Кроме того, он существенно увеличивает мозговой кровоток и активирует окислительные процессы в мозге. Ноотропил эффективен для ликвидации острой вестибулярной дисфункции любого происхождения: при сосудистых заболеваниях, токсических поражениях, проявлениях естественного старения вестибулярного аппарата и других. Его активно применяют при курсовом лечении по поводу вестибулярных нарушений у больных не только с выраженными, но и с начальными признаками недостаточности мозгового кровообращения, при черепно-мозговых травмах и их последствиях.
Широко применяемые сосудистые средства, такие как кавинтон (винпоцетин) или стугерон (циннаризин), нередко не дают желаемого результата у пациентов пожилого возраста из-за серьёзных изменений с годами в стенках сосудов.
Каждый знает: чтобы сохранить здоровье, прежде всего, нужно вести здоровый образ жизни. Однако до сих пор не потеряли актуальности слова, сказанные французским писателем-моралистом Жаном де Лабрюйером ещё в XVII веке: «Нет ничего такого, что бы люди больше всего желали сохранить и меньше всего берегли, чем своё собственное здоровье». Избегайте конфликтов, стрессовых ситуаций. Относитесь к людям так, как хотели бы, чтобы относились к вам, — это непременное условие сохранения вашего здоровья. Из глубины веков пришло к нам обращение врачей к своим пациентам: «Нас трое — ты, я и болезнь. Если ты будешь на моей стороне, мы обязательно победим».
Автор выражает благодарность кандидату медицинских наук Р. Н. Коновалову и кандидату медицинских наук М. А. Кравученко за помощь в иллюстрировании статьи.
***
Упражнения при головокружении, связанном с заболеваниями лабиринта
Одно из самых эффективных домашних упражнений — манёвр Эплея. Его рекомендуют для перемещения ушных камней — отолитов — в менее чувствительный участок. Упражнения выполняют дома перед сном в течение недели.
Для левого уха (см. картинку): все упражнения на спине выполнять по 30 секунд, потом сесть на одну минуту. Этот цикл занимает 2,5 минуты. Для правого уха упражнения выполняются зеркально. Нужно проделать по три цикла для каждой стороны.
Упражнение по Брандту — Дароффу
Из исходного положения сидя переместиться влево и вправо с немного наклонённой головой. В каждом положении оставаться 20—30 с. Выполнять упражнение несколько раз в день.
***
Советы страдающим головокружениями
● Избегайте резких наклонов, поворотов головы. Проснувшись, немного полежите. Потом плавно встаньте с кровати. Спите на низкой подушке.
● Тяжёлые физические нагрузки не для вас.
● Не стоит есть острые приправы.
● Чаще бывайте на свежем воздухе. Пешие прогулки вам полезны.
● Опасно водить машину, работать на движущихся механизмах.
● Аттракционы с мельканием света, сильными звуковыми эффектами могут вызвать приступ.
● Опасайтесь душных помещений и прямых солнечных лучей.
● Употребление алкоголя и табака недопустимо.
● Избегайте стрессов, конфликтов, психоэмоциональных взрывов. Старайтесь установить с окружающими доброжелательные отношения.
http://www.nkj.ru/archive/articles/21171/



