
В современном мире технологии работают на человека практически в любой области. И обучение не является исключением. Новые методики, инструменты и дальнейшие исследования ученых направлены на то, как натренировать мозг и существенно повысить способности организма – просто, доступно, эффективно и не причиняя вреда.
Учеба в школе, университете, на каких-либо курсах и т.п. оставляет незабываемый эмоциональный опыт в душах многих людей. Изнуряющая зубрежка, масса дат, чисел, непонятных определений, и в итоге вместо блестящего багажа знаний путаные ответы на экзамене и забытый «страшный сон» после получения диплома. К сожалению, наш мозг не способен, как компьютер, записывать данные и выдавать их по первому требованию. Он четко фильтрует нужные ему знания и не торопится вспоминать «пустую» информацию, даже если это срочно необходимо или критически важно. К счастью, современные технологии понемногу открывают дверь в мир обучения будущего, когда приобретение знаний, будь то пилотирование самолета или изучение иностранного языка, станет быстрым и простым.
Стимуляция мозга
На самом деле стимуляция мозга является самым простым способом повысить способность к обучению, ведь мы не придумываем ничего нового, а просто усиливаем врожденные способности.
С появлением функциональной магнитно-резонансной томографии открылись особенные возможности по изучению деятельности мозга. Ученые впервые увидели, какие участки головного мозга активизируются во время чтения, просмотра видео, заучивания стихов и т.д.
Наиболее масштабные исследования по новым технологиям обучения проводят ВВС США. Это неудивительно: подготовка летчика требует уйму времени и денег, а значит, даже крупные вложения в новые технологии окупятся с лихвой.

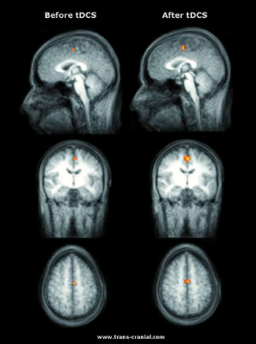
Изображение мозга (слева) и после (справа) транскраниальной стимуляции в ходе простого движения
– постукивания пальцами по крышке стола. Стимуляция повысила активность нейронов на 40%
В ноябре 2011 года военные ученые из лаборатории ВВС в Райт-Паттерсон добились выдающихся результатов: смогли в 2 раза сократить время обучения операторов ударных беспилотников. Операторы занимаются непростой работой: выбирают цели для атаки на сложных радиолокационных изображениях. Сократить время обучения удалось с помощью транскраниальной (сквозь кости черепа без хирургического вмешательства) стимуляции мозга.
Выглядит эта технология следующим образом: обучаемый надевает на голову шапочку с электродами для электроэнцефалографии. На электроды в течение 30 минут подается небольшой постоянный ток в 2 мА, который повышает возбудимость нейронов мозга. При этом возникает мягкое легкое жжение (как от раскрасневшихся щек) или щекотка, что не доставляет особого дискомфорта.

На электроды в течение 30 минут подается небольшой постоянный ток в 2 мА, который повышает возбудимость нейронов мозга
В результате воздействия тока интенсивность мозговых волн в ответ на сенсорную стимуляцию даже спустя 50 минут остается в 2,5 раза выше обычного уровня. Кофеин или другие стимуляторы, которые были протестированы вместе с транскраниальной стимуляцией, даже в сравнение не идут. В экспериментах точность принятия решений обучаемыми сохранялась более 40 минут, хотя в обычных условиях она неуклонно снижается уже через 20 минут.
Более того, МРТ-сканирование выявило структурные изменения в мозге спустя пять дней после стимуляции. Как известно, нейроны коры головного мозга соединяются друг с другом массивными пучками нервных волокон (аксонов). Оказалось, что после транскраниальной стимуляции эти пучки оказались лучше организованы и смогли передавать информацию быстрее.
Разумеется, помимо подготовки пилотов, данная технология может найти применение и в медицине. Пока транскраниальная стимуляция мозга не выходит за стены лабораторий. Однако оборудование и программное обеспечение для подобного «бытового» коммерческого устройства не должно быть очень дорогим. Возможно, уже через 5-10 лет на рынке появятся первые «умные шапочки», в разы ускоряющие обучение. Также подобные приборы могут решить проблему невнимательности усталых водителей: активизируя мозг, стимуляция помогает заметить на дороге объекты, которые иначе водитель «проморгал» бы.
Если вы не хотите ждать, пока военные поделятся своими технологиями, можно обратить внимание на существующие приборы для транскраниальной стимуляции. Так, tDCS Transcranial Stimulation Kit стоит около 380 долл. и в настоящее время используется многими лабораториями для разработки методик лечения депрессии, хронических болей, улучшения обучаемости.

GoFlow β1 – это, прежде всего, проект, который предназначен для вывода технологии транскраниальной стимуляции в массы
Если и 380 долл. - это дорого, есть оригинальный проект GoFlow β1. Группа энтузиастов в начале 2012 года объявила о намерении разработать простое доступное устройство для транскраниальной стимуляции. В намерения разработчиков входит создание дешевого прибора стоимостью менее 100 долл. Это намного дешевле нынешних лабораторных образцов.
Прибор GoFlow β1 можно собрать и настроить всего за полчаса. Он представляет собой обруч с предохранителем на 5 мА (важно, с учетом того, что электроимпульсы идут в мозг), обычной батарейкой AА, управляющей микросхемой и парой электродов. Устройство выдает ток четырех параметров (0,5, 1,0, 1,5 и 2 мА) с плавным нарастанием мощности – для того, чтобы была возможность выключить прибор при появлении каких-либо неприятных ощущений. Проект GoFlow β1 запущен относительно недавно, так что интернет-магазина с приборами для транскраниальной стимуляции у него пока нет. Однако есть возможность связаться с разработчиками и сделать предзаказ или получить схему прибора, чтобы собрать его самостоятельно.
GoFlow β1 – это, прежде всего, проект, который предназначен для вывода технологии транскраниальной стимуляции в массы. Дело в том, что потенциал подобной стимуляции даже спустя десятилетие исследований остается неизученным. Особенно это касается долговременных последствий процедуры.

Прибор GoFlow β1 можно собрать и настроить всего за полчаса
Множество людей по всему миру могут открыть совершенно неожиданные возможности данной технологии, не исключено, что в ней кроется ключ к эволюционному скачку в развитии человеческого мозга. Правда, в безопасности длительной стимуляции мозга тоже пока никто на 100% не уверен - все «игры» с мозгом носят сложно прогнозируемый характер. Однако надо отметить, что ни одно из более 400 исследований транскраниальной стимуляции не выявило каких-либо негативных последствий для здоровья. Многие ученые считают, что ее можно практиковать и в домашних условиях.
Скорость и ловкость
Обучение не всегда требует зубрежки, иногда необходимо тренировать и тело: улучшать внимание, ловкость, реакцию. Существуют высокотехнологичные тренажеры и для этого. Так, тренажер NeuroTracker широко используется спортсменами, а недавно его приобрели силы спецопераций армии США.
Тренажер выглядит довольно просто: на трехмерном экране прыгают 8 разноцветных шаров. Обучаемый должен следить за ними в соответствии с различными сценариями, например, только за красным, игнорируя остальные или пытаясь предсказать движения одного и более шаров.
Благодаря NeuroTracker спортсмен, например, хоккеист, учится следить за шайбой в любой обстановке, а спецназовец метко стрелять по нескольким целям. Программное обеспечение тренажера, в принципе, не сложное, а 3D-телевизоры и проекторы сегодня продаются повсеместно, так что при желании вполне можно соорудить такой тренажер, не имея большой лаборатории с десятком высококлассных ученых.
Расширенная память
Все мечтают иметь идеальную память, которая могла бы хранить сотни томов энциклопедий. В фантастических романах супергерои или андроиды блещут эрудицией, на ходу выдавая требуемые факты. Пока такое невозможно – нельзя как на «флешку» записывать и воспроизводить воспоминания, которые хранит мозг. Однако каждый, кто читает эту статью, пользуется еще более совершенным видом памяти – интернетом.
В конце 2011 года психологи из Колумбийского Университета экспериментально проверили влияние интернета на память человека. Оказалось, что люди лучше запоминают ключевые слова в «поисковике» или название папки в компьютере, чем саму суть информации. Т.е. в памяти современного человека остается лишь способ поиска нужных данных - сама информация их интересует только тогда, когда она нужна.
Таким образом, оказалось пророческой концепция транзактивной памяти, которую впервые озвучил около 30 лет назад гарвардский психолог Даниэл Вегнер. Новый тип памяти по сути является техногенной разновидностью коллективной социальной памяти. Последняя знакома и понятна: мы намного хуже запоминаем номера телефона, исторические факты и т.п., если рядом есть человек, отлично владеющий данной информацией, короче – проще спросить, чем самому ломать голову. Интернет выполняет аналогичную функцию, заменяя эрудированного собеседника.
Получается, что мы, сами того не заметив, радикально расширили возможности нашего мозга, пускай и посредством техники. При этом транзактивная интернет-память намного совершеннее «энциклопедии в голове», поскольку информация в глобальной сети постоянно обновляется. Таким образом, нет нужды постоянно «загружать» мозг тоннами ненужной информации – достаточно знать, как ее найти и иметь под рукой соответствующую точку доступа в сеть интернет. Вы скажете: «В чем смысл, ведь на экзамене запрещено пользоваться интернетом?» Да, нынешняя система образования в чем-то отстала от прогресса: ненужная зубрежка, бессмысленное повторение вслух фактов, вычитанных из учебника… Оценивают не потенциал человека в той или иной области, а его способность к запоминанию информации, которую в интернете можно найти за минуту. Тем не менее, в некоторых странах подход к обучению потихоньку пересматривается: основной упор стараются сделать на творческое осмысление существующих знаний, объединение знаний из различных областей в новую идею, умение находить общий язык с другими людьми для реализации сложных проектов и т.д.
Михаил Левкевич
Учеба в школе, университете, на каких-либо курсах и т.п. оставляет незабываемый эмоциональный опыт в душах многих людей. Изнуряющая зубрежка, масса дат, чисел, непонятных определений, и в итоге вместо блестящего багажа знаний путаные ответы на экзамене и забытый «страшный сон» после получения диплома. К сожалению, наш мозг не способен, как компьютер, записывать данные и выдавать их по первому требованию. Он четко фильтрует нужные ему знания и не торопится вспоминать «пустую» информацию, даже если это срочно необходимо или критически важно. К счастью, современные технологии понемногу открывают дверь в мир обучения будущего, когда приобретение знаний, будь то пилотирование самолета или изучение иностранного языка, станет быстрым и простым.
Стимуляция мозга
На самом деле стимуляция мозга является самым простым способом повысить способность к обучению, ведь мы не придумываем ничего нового, а просто усиливаем врожденные способности.
С появлением функциональной магнитно-резонансной томографии открылись особенные возможности по изучению деятельности мозга. Ученые впервые увидели, какие участки головного мозга активизируются во время чтения, просмотра видео, заучивания стихов и т.д.
Наиболее масштабные исследования по новым технологиям обучения проводят ВВС США. Это неудивительно: подготовка летчика требует уйму времени и денег, а значит, даже крупные вложения в новые технологии окупятся с лихвой.

Изображение мозга (слева) и после (справа) транскраниальной стимуляции в ходе простого движения
– постукивания пальцами по крышке стола. Стимуляция повысила активность нейронов на 40%
В ноябре 2011 года военные ученые из лаборатории ВВС в Райт-Паттерсон добились выдающихся результатов: смогли в 2 раза сократить время обучения операторов ударных беспилотников. Операторы занимаются непростой работой: выбирают цели для атаки на сложных радиолокационных изображениях. Сократить время обучения удалось с помощью транскраниальной (сквозь кости черепа без хирургического вмешательства) стимуляции мозга.
Выглядит эта технология следующим образом: обучаемый надевает на голову шапочку с электродами для электроэнцефалографии. На электроды в течение 30 минут подается небольшой постоянный ток в 2 мА, который повышает возбудимость нейронов мозга. При этом возникает мягкое легкое жжение (как от раскрасневшихся щек) или щекотка, что не доставляет особого дискомфорта.

На электроды в течение 30 минут подается небольшой постоянный ток в 2 мА, который повышает возбудимость нейронов мозга
В результате воздействия тока интенсивность мозговых волн в ответ на сенсорную стимуляцию даже спустя 50 минут остается в 2,5 раза выше обычного уровня. Кофеин или другие стимуляторы, которые были протестированы вместе с транскраниальной стимуляцией, даже в сравнение не идут. В экспериментах точность принятия решений обучаемыми сохранялась более 40 минут, хотя в обычных условиях она неуклонно снижается уже через 20 минут.
Более того, МРТ-сканирование выявило структурные изменения в мозге спустя пять дней после стимуляции. Как известно, нейроны коры головного мозга соединяются друг с другом массивными пучками нервных волокон (аксонов). Оказалось, что после транскраниальной стимуляции эти пучки оказались лучше организованы и смогли передавать информацию быстрее.
Разумеется, помимо подготовки пилотов, данная технология может найти применение и в медицине. Пока транскраниальная стимуляция мозга не выходит за стены лабораторий. Однако оборудование и программное обеспечение для подобного «бытового» коммерческого устройства не должно быть очень дорогим. Возможно, уже через 5-10 лет на рынке появятся первые «умные шапочки», в разы ускоряющие обучение. Также подобные приборы могут решить проблему невнимательности усталых водителей: активизируя мозг, стимуляция помогает заметить на дороге объекты, которые иначе водитель «проморгал» бы.
Если вы не хотите ждать, пока военные поделятся своими технологиями, можно обратить внимание на существующие приборы для транскраниальной стимуляции. Так, tDCS Transcranial Stimulation Kit стоит около 380 долл. и в настоящее время используется многими лабораториями для разработки методик лечения депрессии, хронических болей, улучшения обучаемости.

GoFlow β1 – это, прежде всего, проект, который предназначен для вывода технологии транскраниальной стимуляции в массы
Если и 380 долл. - это дорого, есть оригинальный проект GoFlow β1. Группа энтузиастов в начале 2012 года объявила о намерении разработать простое доступное устройство для транскраниальной стимуляции. В намерения разработчиков входит создание дешевого прибора стоимостью менее 100 долл. Это намного дешевле нынешних лабораторных образцов.
Прибор GoFlow β1 можно собрать и настроить всего за полчаса. Он представляет собой обруч с предохранителем на 5 мА (важно, с учетом того, что электроимпульсы идут в мозг), обычной батарейкой AА, управляющей микросхемой и парой электродов. Устройство выдает ток четырех параметров (0,5, 1,0, 1,5 и 2 мА) с плавным нарастанием мощности – для того, чтобы была возможность выключить прибор при появлении каких-либо неприятных ощущений. Проект GoFlow β1 запущен относительно недавно, так что интернет-магазина с приборами для транскраниальной стимуляции у него пока нет. Однако есть возможность связаться с разработчиками и сделать предзаказ или получить схему прибора, чтобы собрать его самостоятельно.
GoFlow β1 – это, прежде всего, проект, который предназначен для вывода технологии транскраниальной стимуляции в массы. Дело в том, что потенциал подобной стимуляции даже спустя десятилетие исследований остается неизученным. Особенно это касается долговременных последствий процедуры.

Прибор GoFlow β1 можно собрать и настроить всего за полчаса
Множество людей по всему миру могут открыть совершенно неожиданные возможности данной технологии, не исключено, что в ней кроется ключ к эволюционному скачку в развитии человеческого мозга. Правда, в безопасности длительной стимуляции мозга тоже пока никто на 100% не уверен - все «игры» с мозгом носят сложно прогнозируемый характер. Однако надо отметить, что ни одно из более 400 исследований транскраниальной стимуляции не выявило каких-либо негативных последствий для здоровья. Многие ученые считают, что ее можно практиковать и в домашних условиях.
Скорость и ловкость
Обучение не всегда требует зубрежки, иногда необходимо тренировать и тело: улучшать внимание, ловкость, реакцию. Существуют высокотехнологичные тренажеры и для этого. Так, тренажер NeuroTracker широко используется спортсменами, а недавно его приобрели силы спецопераций армии США.
Тренажер выглядит довольно просто: на трехмерном экране прыгают 8 разноцветных шаров. Обучаемый должен следить за ними в соответствии с различными сценариями, например, только за красным, игнорируя остальные или пытаясь предсказать движения одного и более шаров.
Благодаря NeuroTracker спортсмен, например, хоккеист, учится следить за шайбой в любой обстановке, а спецназовец метко стрелять по нескольким целям. Программное обеспечение тренажера, в принципе, не сложное, а 3D-телевизоры и проекторы сегодня продаются повсеместно, так что при желании вполне можно соорудить такой тренажер, не имея большой лаборатории с десятком высококлассных ученых.
Расширенная память
Все мечтают иметь идеальную память, которая могла бы хранить сотни томов энциклопедий. В фантастических романах супергерои или андроиды блещут эрудицией, на ходу выдавая требуемые факты. Пока такое невозможно – нельзя как на «флешку» записывать и воспроизводить воспоминания, которые хранит мозг. Однако каждый, кто читает эту статью, пользуется еще более совершенным видом памяти – интернетом.
В конце 2011 года психологи из Колумбийского Университета экспериментально проверили влияние интернета на память человека. Оказалось, что люди лучше запоминают ключевые слова в «поисковике» или название папки в компьютере, чем саму суть информации. Т.е. в памяти современного человека остается лишь способ поиска нужных данных - сама информация их интересует только тогда, когда она нужна.
Таким образом, оказалось пророческой концепция транзактивной памяти, которую впервые озвучил около 30 лет назад гарвардский психолог Даниэл Вегнер. Новый тип памяти по сути является техногенной разновидностью коллективной социальной памяти. Последняя знакома и понятна: мы намного хуже запоминаем номера телефона, исторические факты и т.п., если рядом есть человек, отлично владеющий данной информацией, короче – проще спросить, чем самому ломать голову. Интернет выполняет аналогичную функцию, заменяя эрудированного собеседника.
Получается, что мы, сами того не заметив, радикально расширили возможности нашего мозга, пускай и посредством техники. При этом транзактивная интернет-память намного совершеннее «энциклопедии в голове», поскольку информация в глобальной сети постоянно обновляется. Таким образом, нет нужды постоянно «загружать» мозг тоннами ненужной информации – достаточно знать, как ее найти и иметь под рукой соответствующую точку доступа в сеть интернет. Вы скажете: «В чем смысл, ведь на экзамене запрещено пользоваться интернетом?» Да, нынешняя система образования в чем-то отстала от прогресса: ненужная зубрежка, бессмысленное повторение вслух фактов, вычитанных из учебника… Оценивают не потенциал человека в той или иной области, а его способность к запоминанию информации, которую в интернете можно найти за минуту. Тем не менее, в некоторых странах подход к обучению потихоньку пересматривается: основной упор стараются сделать на творческое осмысление существующих знаний, объединение знаний из различных областей в новую идею, умение находить общий язык с другими людьми для реализации сложных проектов и т.д.
Михаил Левкевич



